photo sharing and upload picture albums photo forums search pictures popular photos photography help login
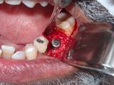
fredlibc | all galleries >> Galleries >> JLin - 26 implant -graft around existing 36 impl > PC020009.JPG
previous | next
02-Dec-2024

PC020009.JPG

Olympus TG-6
1/100s f/18.0 at 18.0mm iso400 full exif

other sizes: small medium large original auto
share