photo sharing and upload picture albums photo forums search pictures popular photos photography help login
fredlibc | profile | all galleries >> Galleries >> TZeng - 21 - immediate guided tree view | thumbnails | slideshow

TZeng - 21 - immediate guided

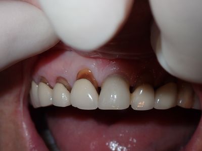
Atraumatic exo 21, labial plate intact, guide used for first drill, freehand to reposition a bit more palatally and placed a wider implant than planned with guide.
P6230019.JPG
P6230019.JPG
P6230020.JPG
P6230020.JPG
P6230021.JPG
P6230021.JPG
P6230022.JPG
P6230022.JPG
P6230023.JPG
P6230023.JPG
P6230025.JPG
P6230025.JPG
P6230026.JPG
P6230026.JPG
P6230027.JPG
P6230027.JPG
Somers Linda #21 (1).jpg
Somers Linda #21 (1).jpg
Somers Linda #21 (2).jpg
Somers Linda #21 (2).jpg