photo sharing and upload picture albums photo forums search pictures popular photos photography help login
fredlibc | profile | all galleries >> Galleries >> NSankhyan - 12 implant bone graft tree view | thumbnails | slideshow

NSankhyan - 12 implant bone graft

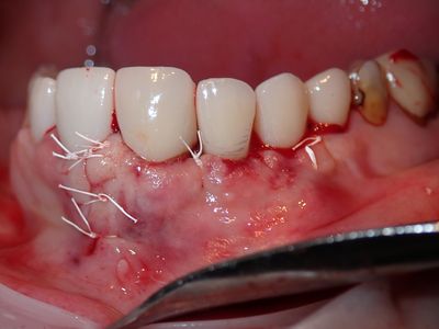
implant was placed and loaded. Pt has pain to tapping implant crown, no other symptoms, esthetics are acceptable. Scan shows implant out of bone buccal. discussion on flap design, started with a small flap but with amount of bone loss, access was key, dropped a vertical. thorough cleaning around implant. grafted site with sticky bone from equal amounts mineralized cortical allograft, xenograft and synthetic bone. Collagen membrane soaked in prf fluid placed defect with 4 membrane tacks. fibrin membrane used overtop. Will assess symptoms in 5 months
PA270014.JPG
PA270014.JPG
PA270015.JPG
PA270015.JPG
PA270016.JPG
PA270016.JPG
PA270017.JPG
PA270017.JPG
PA270018.JPG
PA270018.JPG
PA270019.JPG
PA270019.JPG