photo sharing and upload picture albums photo forums search pictures popular photos photography help login
fredlibc | profile | all galleries >> Galleries >> NSankhyan - 34 immediate placement tree view | thumbnails | slideshow

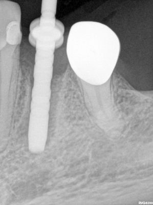
NSankhyan - 34 immediate placement

Atraumatic exo, about 2mm buccal bone loss, might have been present post exo but very thin, implant ostoetomy underprepared, dense bone at apex of socket, implant placed with good stabitliy, buccal flapped, socket and buccal grafted with allograft (small amount of xeno) folloewd by collagen membrane, healing abutment placed
PB170016.JPG
PB170016.JPG
PB170018.JPG
PB170018.JPG
R1.jpg
R1.jpg
R2.jpg
R2.jpg