photo sharing and upload picture albums photo forums search pictures popular photos photography help login
fredlibc | profile | all galleries >> Galleries >> NSankhyan - immediate 14 tree view | thumbnails | slideshow

NSankhyan - immediate 14

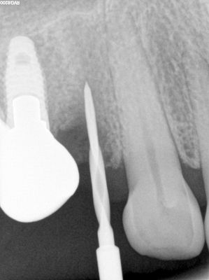
relatively straight forward immediate placement, loss of labial plate at apex of 3mm, implant placed well away from that site, grafted that region from internal of socket with membrane and bone prior to placing implant. additional bone placed post implant placement .
PB030015.JPG
PB030015.JPG
PB030016.JPG
PB030016.JPG
PB030017.JPG
PB030017.JPG
PB030018.JPG
PB030018.JPG
PB030019.JPG
PB030019.JPG
PB030020.JPG
PB030020.JPG
PB030021.JPG
PB030021.JPG
R5.jpg
R5.jpg
R6.jpg
R6.jpg