photo sharing and upload picture albums photo forums search pictures popular photos photography help login
fredlibc | profile | all galleries >> Galleries >> NSankhyan - 22 immediate tree view | thumbnails | slideshow

NSankhyan - 22 immediate

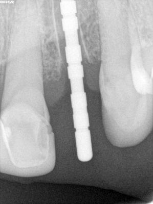
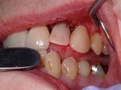
long root, atraumatic exo, loss of labial bone at apical end of socket, implant placed in ideal position, socket and buccal grafted with allograft and collagen membrane. Sutured prior to loading implant with screw-retained temp crown out of centric and protrusive occlusion
PA180024.JPG
PA180024.JPG
PA180025.JPG
PA180025.JPG
PA180026.JPG
PA180026.JPG
PA180027.JPG
PA180027.JPG
PA180028.JPG
PA180028.JPG
PA180029.JPG
PA180029.JPG
R1.jpg
R1.jpg
R2.jpg
R2.jpg