photo sharing and upload picture albums photo forums search pictures popular photos photography help login
fredlibc | profile | all galleries >> Galleries >> NSankhyan - immediate load 22 tree view | thumbnails | slideshow

NSankhyan - immediate load 22

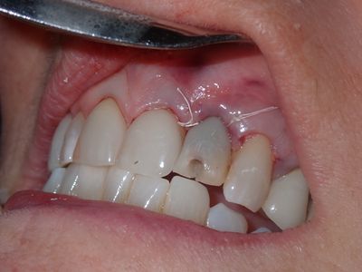
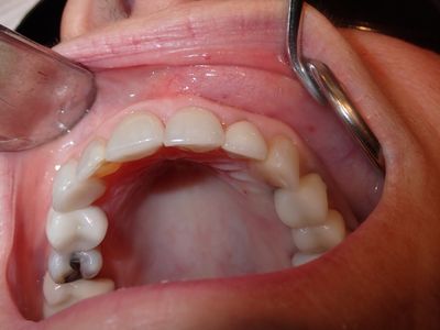
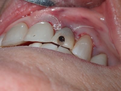
Atraumatic exo, loss of labial plate mid root about 2-3mm, CEJ and apical bone intact, region of thinner Labial-palatal bone, flapped site. osteotomy underprepared, implant placed with excellent stability. Buccal and socket grafted with 90/10 mix of mineralized cortical/xenograft followed by collagen membrane outside of socket on buccal, implant loaded with temporary crown out of centric and protrusive occlusion
PC010047.JPG
PC010047.JPG
PC010048.JPG
PC010048.JPG
PC010049.JPG
PC010049.JPG
PC010050.JPG
PC010050.JPG
PC010052.JPG
PC010052.JPG
PC010053.JPG
PC010053.JPG
PC010054.JPG
PC010054.JPG
R1.jpg
R1.jpg
R2.jpg
R2.jpg