photo sharing and upload picture albums photo forums search pictures popular photos photography help login
fredlibc | profile | all galleries >> Galleries >> NSankhyan - exo 13- implants 13 and 12 tree view | thumbnails | slideshow

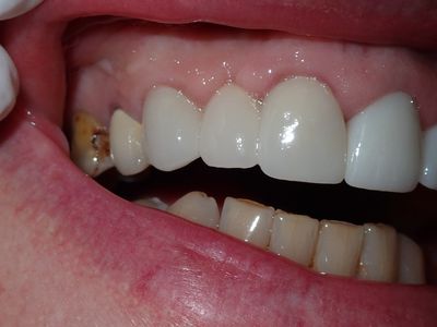
NSankhyan - exo 13- implants 13 and 12

difficult case, 12 has very limited bone and bone defect from trauma. Prepared osteotomy with precision drill and the remainder with densah drills, implant placed with buccal exposure of 1-2 threads in mid buccal region as expected. repositioned to allow for adequate M-D spacing between 13 an 12. 13 osteotomy underprepared, difficult getting implant stability due to large root but inadequte M-D spacing for wider implant, replaced several times, healing abutments placed, buccal and socket grafted with sticky bone (allograft) followed by collagen membrane soaked in prf fluid on buccal of 12,
P3170014.JPG
P3170014.JPG
P3170015.JPG
P3170015.JPG
P3170016.JPG
P3170016.JPG
P3170017.JPG
P3170017.JPG
P3170018.JPG
P3170018.JPG
P3170019.JPG
P3170019.JPG
P3170020.JPG
P3170020.JPG
R1.jpg
R1.jpg
R2.jpg
R2.jpg
R3.jpg
R3.jpg
R5.jpg
R5.jpg