photo sharing and upload picture albums photo forums search pictures popular photos photography help login
fredlibc | profile | all galleries >> Galleries >> NSankhyan - immediate 13, impls 1121 and 25 with grafting tree view | thumbnails | slideshow

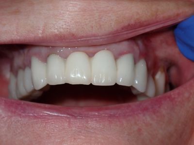
NSankhyan - immediate 13, impls 1121 and 25 with grafting

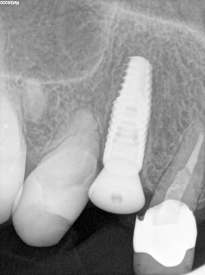
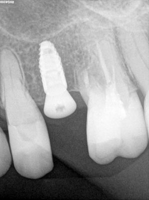
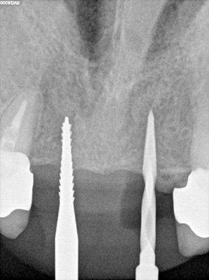
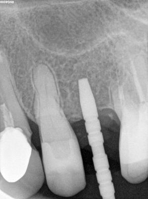
13 exo, loss of labial plate, implant placed buccal region grafted with sticky bone and collagen membrane soaked in prf fluid. 11/21 limited Labial-palatal width of bone, ridge split to 5mm, osteotomies prepared to about 2mm, remainder with densah drills, implants placed with ample bone, buccal grafted with same sticky bone. densah drills used for apical portion of 25 implant, soft bone, implant placed
previous pagepages 1 2 ALL next page
11,21-2.jpg
11,21-2.jpg
11,21.jpg
11,21.jpg
13-2.jpg
13-2.jpg
13.jpg
13.jpg
25-2.jpg
25-2.jpg
25.jpg
25.jpg
P9290001.JPG
P9290001.JPG
P9290002.JPG
P9290002.JPG
P9290003.JPG
P9290003.JPG
P9290004.JPG
P9290004.JPG
P9290005.JPG
P9290005.JPG
P9290006.JPG
P9290006.JPG
previous pagepages 1 2 ALL next page