photo sharing and upload picture albums photo forums search pictures popular photos photography help login
fredlibc | profile | all galleries >> Galleries >> NSankhyan - immediate 21 tree view | thumbnails | slideshow

NSankhyan - immediate 21

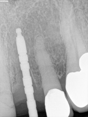
atraumatic exo 21, labial plate intact, osteotomy underprepared in ideal position, soft bone, implant placed at under 20Ncm of torque but ISQ tested over 70. decided to immedaite load, loaded with temp crown out of occlusion
previous pagepages 1 2 ALL next page
R4.jpg
R4.jpg
R5.jpg
R5.jpg
R7.jpg
R7.jpg
previous pagepages 1 2 ALL next page