photo sharing and upload picture albums photo forums search pictures popular photos photography help login
fredlibc | profile | all galleries >> Galleries >> NSankhyan - immediate 21 tree view | thumbnails | slideshow

NSankhyan - immediate 21

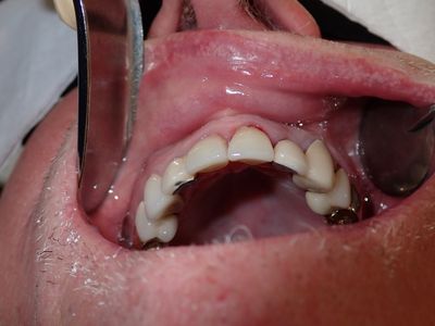
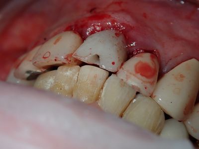
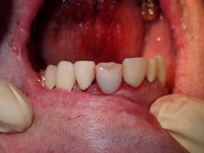
atraumatic exo 21, labial plate intact, osteotomy underprepared in ideal position, soft bone, implant placed at under 20Ncm of torque but ISQ tested over 70. decided to immedaite load, loaded with temp crown out of occlusion
previous pagepages 1 2 ALL next page
PB030001.JPG
PB030001.JPG
PB030002.JPG
PB030002.JPG
PB030003.JPG
PB030003.JPG
PB030004.JPG
PB030004.JPG
PB030005.JPG
PB030005.JPG
PB030006.JPG
PB030006.JPG
PB030007.JPG
PB030007.JPG
PB030008.JPG
PB030008.JPG
PB030009.JPG
PB030009.JPG
PB030011.JPG
PB030011.JPG
PB030012.JPG
PB030012.JPG
PB030013.JPG
PB030013.JPG
previous pagepages 1 2 ALL next page