photo sharing and upload picture albums photo forums search pictures popular photos photography help login
fredlibc | profile | all galleries >> Galleries >> KPaterson - 26 tree view | thumbnails | slideshow

KPaterson - 26

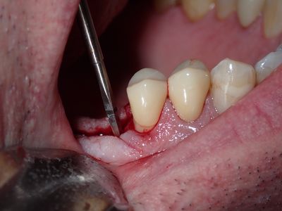
straightforward implant placement with densah drills used at apical end. no entry into sinus chamber, dense bone, had talked about doing a sinus lift but is best to reduce length of procedure.
IMG_2101.JPG
IMG_2101.JPG
IMG_2102.JPG
IMG_2102.JPG
P1130001.JPG
P1130001.JPG
P1130002.JPG
P1130002.JPG
P1130003.JPG
P1130003.JPG
R1.jpg
R1.jpg
R2.jpg
R2.jpg
R3.jpg
R3.jpg