photo sharing and upload picture albums photo forums search pictures popular photos photography help login
fredlibc | profile | all galleries >> Galleries >> JGolos - llq implants tree view | thumbnails | slideshow

JGolos - llq implants

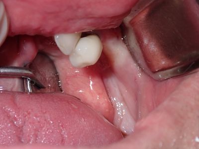
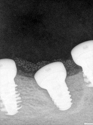
Bone loss noted, bone graft required, upon flapping, decided to place implants. Difficult case due to very strong macroglossic tongue, limited sulcular space. Short and wide implants placed, all socket/defects grafted with sticky bone from cortical allograft. membrane placed interimplant and fibrin membrane also used
45.jpg
45.jpg
46.jpg
46.jpg
47.jpg
47.jpg
PC060017.JPG
PC060017.JPG
PC060018.JPG
PC060018.JPG
PC060019.JPG
PC060019.JPG
PC060020.JPG
PC060020.JPG
PC060021.JPG
PC060021.JPG
R12.jpg
R12.jpg